Alerta del experto: Se estudian los enfoques quirúrgicos para restaurar la función después del accidente cerebrovascular
El accidente cerebrovascular (ACV) afecta 15 millones de personas en todo el mundo cada año, y la mayoría de las cirugías relacionadas con el accidente cerebrovascular ocurren durante la fase aguda del paciente. Se estima que la mitad de estas personas vivirá con discapacidad permanente o crónica. Los investigadores continúan estudiando formas que pueden ayudar a los pacientes a recuperar la función más adelante, dice el Dr. Chris Fox, neurocirujano en Mayo Clinic en Jacksonville, Florida.
Un ACV ocurre cuando se interrumpe el suministro de sangre de una parte del cerebro. Un accidente cerebrovascular isquémico, el tipo más común, es causado por una arteria bloqueada en el cerebro. Con los accidentes cerebrovasculares hemorrágicos, un vaso sanguíneo en el cerebro se escapa o estalla y causa sangrado en el cerebro. El bloqueo del flujo sanguíneo conduce a la muerte celular, y cuanto más dura el bloqueo, más células cerebrales se lesionan. Cuando se produce una hemorragia en el cerebro, las células se lesionan debido al aumento de la presión dentro del cerebro y debido a lesiones directas de la sangre, lo que las lleva, posteriormente, a la degradación.
La mayoría de las cirugías se realizan pocas horas después del accidente cerebrovascular, cuando el paciente se encuentra en la fase aguda, explica el Dr. Fox. La cirugía en pacientes con accidentes cerebrovasculares isquémicos se centra en restaurar el flujo sanguíneo al cerebro. La cirugía en pacientes con accidente cerebrovascular hemorrágico se centra en tratar la causa del sangrado y aliviar la presión sobre el cerebro.
"La gran mayoría de lo que podemos hacer ahora es tratar a los pacientes que experimentan un accidente cerebrovascular o realizar cirugías que pueden ayudar a prevenir la enfermedad", dice el Dr. Fox. "Esto incluye cirugías que pueden abrir una arteria carótida estrecha en el cuello o tratar un aneurisma u otra malformación vascular en el cerebro antes de que tenga la oportunidad de romperse."
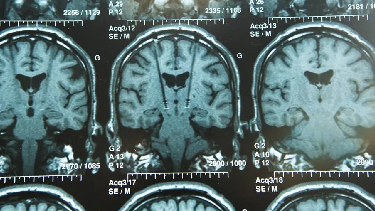
Dependiendo de la ubicación y la gravedad del daño cerebral, los pacientes pueden experimentar cambios que afectan sus cualidades de vida. Un accidente cerebrovascular puede provocar debilidad, entumecimiento, cambios en el lenguaje, problemas de equilibrio, coordinación y visión. Los posibles enfoques quirúrgicos para afecciones crónicas después de un accidente cerebrovascular aún se están estudiando.
"Poder reanimar el sistema nervioso después de cualquier lesión, incluido un accidente cerebrovascular, ha sido algo que hemos estado buscando durante algún tiempo."explica el Dr. Fox."Y eso aún no ha sucedido. Ojalá que eso ocurra."


